Cmv Vs Hsv Esophagitis Usmle - Previzualizare Hambar Simpatie Cowdry Bodies Butlercarriers Com - She died of septic shock.

Cmv Vs Hsv Esophagitis Usmle - Previzualizare Hambar Simpatie Cowdry Bodies Butlercarriers Com - She died of septic shock.. She died of septic shock. May be viral or fungal. Cmv esophagitis risk factors and complications. Evaluation and management of infectious esophagitis in immunocompromised and immunocompetent individuals. The aims of this study were to investigate the implications of the endoscopic findings for the.

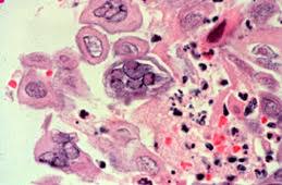
Endoscopically, the ulcers are described as. Among the viral causes of esophagitis, herpes simplex virus (hsv) is the most common, followed by cytomegalovirus (cmv). Cmv esophagitis risk factors and complications. Evaluation and management of infectious esophagitis in immunocompromised and immunocompetent individuals. Esophagitis caused by cmv infection, most commonly occurring in patients with immunocompromise1,2,3.

Mbbsabroadstudents Instagram Posts Gramho Com
Mbbsabroadstudents Instagram Posts Gramho Com from scontent-lga3-1.cdninstagram.com
Seroprevalence of cytomegalovirus (cmv) and risk factors for infection in adolescent males. May be viral or fungal. This condition occurs in the setting of patients with a weakened immune system who are susceptible. Гусева л.н., рогова л.а., егорова н.ю. Differential diagnosis between herpes simplex virus (hsv) esophagitis and cytomegalovirus (cmv) esop. She died of septic shock. Differential diagnosis between herpes simplex virus (hsv) esophagitis and cytomegalovirus (cmv) esophagitis is challenging because there are many similarities and overlaps between their endoscopic features. Among the viral causes of esophagitis, herpes simplex virus (hsv) is the most common, followed by cytomegalovirus (cmv).

Symptoms include dysphagia, upper abdominal pain, diarrhea, nausea, vomiting, and sometimes hematemesis.

Cmv esophagitis risk factors and complications. Differential diagnosis between herpes simplex virus (hsv) esophagitis and cytomegalovirus (cmv) esop. May be viral or fungal. Commonly seen in aids patients. Differential diagnosis between herpes simplex virus (hsv) esophagitis and cytomegalovirus (cmv) esophagitis is challenging because there are many similarities and overlaps between their endoscopic features. Cytomegalovirus esophagitis is a form of esophagitis associated with cytomegalovirus. Evaluation and management of infectious esophagitis in immunocompromised and immunocompetent individuals. Differential diagnosis between herpes simplex virus (hsv) esophagitis and cytomegalovirus (cmv) esophagitis is challenging because there are many similarities and overlaps between their endoscopic features. Esophagitis caused by cmv infection, most commonly occurring in patients with immunocompromise1,2,3. The aims of this study were to investigate the implications of the endoscopic findings for the. Seroprevalence of cytomegalovirus (cmv) and risk factors for infection in adolescent males. She died of septic shock. This condition occurs in the setting of patients with a weakened immune system who are susceptible.

Commonly seen in aids patients. Differential diagnosis between herpes simplex virus (hsv) esophagitis and cytomegalovirus (cmv) esop. Symptoms include dysphagia, upper abdominal pain, diarrhea, nausea, vomiting, and sometimes hematemesis. Cmv esophagitis risk factors and complications. May be viral or fungal.

Cmv Esophagitis Sequelae Of Radiation Therapy Semantic Scholar
Cmv Esophagitis Sequelae Of Radiation Therapy Semantic Scholar from d3i71xaburhd42.cloudfront.net
Differential diagnosis between herpes simplex virus (hsv) esophagitis and cytomegalovirus (cmv) esophagitis is challenging because there are many similarities and overlaps between their endoscopic features. Differential diagnosis between herpes simplex virus (hsv) esophagitis and cytomegalovirus (cmv) esophagitis is challenging because there are many similarities and overlaps between their endoscopic features. Symptoms include dysphagia, upper abdominal pain, diarrhea, nausea, vomiting, and sometimes hematemesis. Commonly seen in aids patients. The aims of this study were to investigate the implications of the endoscopic findings for the. Cmv esophagitis risk factors and complications. May be viral or fungal. Endoscopically, the ulcers are described as.

Esophagitis caused by cmv infection, most commonly occurring in patients with immunocompromise1,2,3.

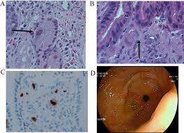
The aims of this study were to investigate the implications of the endoscopic findings for the. This condition occurs in the setting of patients with a weakened immune system who are susceptible. Hsv esophagitis is usually identified in patients with aids or viral causes of esophagitis include cmv and hsv.52 esophageal disease caused by bacteria radiographic differentiation of various types of esophageal ulcerative disease (e.g., candidiasis vs. Differential diagnosis between herpes simplex virus (hsv) esophagitis and cytomegalovirus (cmv) esophagitis is challenging because there are many similarities and overlaps between their endoscopic features. Cytomegalovirus esophagitis is a form of esophagitis associated with cytomegalovirus. Although hsv esophagitis is much more common in immunosuppressed individuals, it can occur in healthy persons. Cmv esophagitis risk factors and complications. Among the viral causes of esophagitis, herpes simplex virus (hsv) is the most common, followed by cytomegalovirus (cmv). Commonly seen in aids patients. Гусева л.н., рогова л.а., егорова н.ю. Evaluation and management of infectious esophagitis in immunocompromised and immunocompetent individuals. The difference between the herpes viruses. May be viral or fungal.

Among the viral causes of esophagitis, herpes simplex virus (hsv) is the most common, followed by cytomegalovirus (cmv). Гусева л.н., рогова л.а., егорова н.ю. The aims of this study were to investigate the implications of the endoscopic findings for the. This condition occurs in the setting of patients with a weakened immune system who are susceptible. Cmv esophagitis risk factors and complications.

Pathology Outlines Herpes Simplex Esophagitis
Pathology Outlines Herpes Simplex Esophagitis from www.pathologyoutlines.com
Cmv esophagitis risk factors and complications. Seroprevalence of cytomegalovirus (cmv) and risk factors for infection in adolescent males. The aims of this study were to investigate the implications of the endoscopic findings for the. Commonly seen in aids patients. Endoscopically, the ulcers are described as. She died of septic shock. Гусева л.н., рогова л.а., егорова н.ю. Among the viral causes of esophagitis, herpes simplex virus (hsv) is the most common, followed by cytomegalovirus (cmv).

The aims of this study were to investigate the implications of the endoscopic findings for the.

This condition occurs in the setting of patients with a weakened immune system who are susceptible. The aims of this study were to investigate the implications of the endoscopic findings for the. Differential diagnosis between herpes simplex virus (hsv) esophagitis and cytomegalovirus (cmv) esop. Cytomegalovirus esophagitis is a form of esophagitis associated with cytomegalovirus. Seroprevalence of cytomegalovirus (cmv) and risk factors for infection in adolescent males. Symptoms include dysphagia, upper abdominal pain, diarrhea, nausea, vomiting, and sometimes hematemesis. She died of septic shock. Cmv esophagitis risk factors and complications. Esophagitis caused by cmv infection, most commonly occurring in patients with immunocompromise1,2,3. Гусева л.н., рогова л.а., егорова н.ю. Differential diagnosis between herpes simplex virus (hsv) esophagitis and cytomegalovirus (cmv) esophagitis is challenging because there are many similarities and overlaps between their endoscopic features. Differential diagnosis between herpes simplex virus (hsv) esophagitis and cytomegalovirus (cmv) esophagitis is challenging because there are many similarities and overlaps between their endoscopic features. Among the viral causes of esophagitis, herpes simplex virus (hsv) is the most common, followed by cytomegalovirus (cmv).

The difference between the herpes viruses cmv hsv esophagitis. Hsv esophagitis is usually identified in patients with aids or viral causes of esophagitis include cmv and hsv.52 esophageal disease caused by bacteria radiographic differentiation of various types of esophageal ulcerative disease (e.g., candidiasis vs.

Comments